
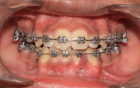
Dental braces (teeth clip treatment) for teeth are appliances that are used to align or straighten the teeth and guide the teeth to the correct position. They are made up of wires, brackets, and bands. Dental Braces aid in correcting irregular teeth positioning, jaw correction, improvement in chewing, and smile aesthetics. Your dentist is the best person to guide you on treatment options and modalities depending upon dentition.












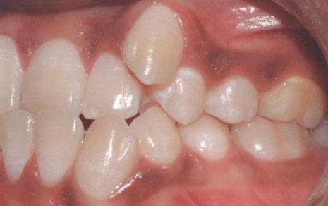
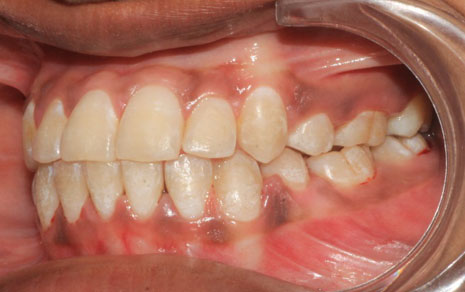
The major reason for getting Dental / Teeth Braces is to improve facial appearance, what people do not know is that there are other implications that require orthodontic treatment like open bite, jaw structure, crossbite, etc.
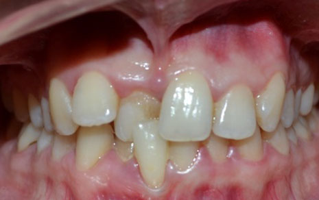
This is a stage where adult teeth or permanent teeth replace primary teeth which aid in appearance, speech, and digestion. During this phase, people can face many issues which can be corrected by Braces. These issues include:
The stage when one has a combination of both primary and permanent teeth in the mouth is called Mixed Dentition. Wearing Braces in this stage cures the following problems:
Every individual is different. Orthodontic treatment can be started as young as 7 years old. There is no upper limit in terms of age for Braces.
If you have good oral health and firm teeth, you can get braces at any age.
There is various kind of Orthodontic treatment available for all ages.
These are the traditional and most common types of braces. The metal braces used today are much more comfortable and smaller in size. These require elastics which come in a variety of colors to tie the wire to the braces. The wires use your body heat to move teeth more quickly and less painfully. There is no age limit attached to these, as patients of all ages can choose to straighten their teeth using metal braces.
These are metal Brackets with a shutter or lock system and do not require the use of elastic to tie the wire. In comparison to traditional metal braces, metal self-ligating braces are more comfortable and smaller in size. These are helpful in achieving arch expansion and minimize the need for extraction.
Ceramic braces are the ones with clear brackets. They use tooth color and blend more naturally with your teeth. The shape and size are the same as metal braces. These are less visible on the teeth and as a result, are preferred by older teenagers and adults who might have aesthetic concerns. Sometimes, even the wires used are of tooth color which makes them less noticeable. Being less prominent, they require more care and protection compared to metal braces as they are larger and more brittle. They require extra protection and, hence are used more in upper teeth than lower.
Lingual Braces are heavy metal braces that are placed behind the teeth. These metallic braces can be made even of silver or gold. The individual Bracket is customized using CAD-CAM / 3D Designing. The treatment is highly aesthetic and less visible. This, however, can cause mild speech difficulties during the course of the treatment.
Clear Aligners or invisible braces are medical-grade plastic trays that do not require any braces or wire. They are totally invisible hence; the aesthetic concerns are duly met and make them very appealing to adults who need orthodontic treatment. Though placed inside they do not have any food restrictions associated. People believe that being placed on the inside, they might face speech difficulties; which is a myth. On the other hand, transparent braces are highly comfortable and hygienic. Clear Aligners also hide existing gaps.
The cost of teeth braces and Dental aligners completely depends from person to person depending on the teeth alignment & multiple other factors. There is no standardization of charges for braces and aligner treatment. At that first appointment, the Orthodontist will examine you and take a digital scan of your cavity among other things. He or she will be able to offer you an exact estimate of the cost of the braces and aligners along with the duration of treatment based on this information.
Worried about the braces cost in India, the teeth braces price, or even specifics like the 6-month braces cost in India or ceramic braces cost? At Clove Dental Clinics, the teeth braces prices start at Rs. 25,492. If you are looking for aligners cost in India, at Clove Dental aligners cost starts at Rs. 71,400 only. Clove Dental also offers aligners from various brands, including Whistle, Invisalign, and many more. Clove Dental has expert orthodontists offering excellent dental treatments to make sure you get the best fit for your teeth at an affordable price.
* The final cost of the treatment may vary based on case to case.
Book an Appointment
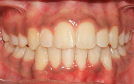
Dental Braces are a powerful solution for addressing various dental concerns, from crooked and crowded teeth to gaps and rotations. With options ranging from traditional metal braces and aesthetic ceramic braces to nearly invisible solutions, you can choose the perfect fit for your dental needs. Not only do braces enhance the beauty of your smile, but they also boost its health and functionality. Choose braces and invest in a confident, radiant smile.
The types of dental / teeth braces (teeth clips) are Metal braces, Ceramic braces, Self-ligating braces, Lingual braces, and Clear or invisible aligners/braces.
The cost of Dental Braces varies and is based on the dental or teeth braces you choose. Clove Dental Clinic braces of all types and across various known brands. Clove Dental offers a wide range of braces at best prices starting from Rs. 22,500. Contact a Clove Dental Clinic to know more about the latest offers on braces and get all your queries answered.
After bonding the dental braces, it takes about 1-2 hours for the process of putting on the dental braces for the teeth to finish.
Usually, orthodontists do not recommend tooth extraction for fixing teeth braces. But if there is a serious crowding issue, one or two teeth need to be removed.
There is a variety of braces available and it depends on the patient getting them. If the patient wishes, they can even get transparent/ceramic braces as well. For more information on what kind of braces will be more suitable for your needs, visit a Dental specialist at Clove Dental Clinic near you.
Getting or having braces is not painful. However, slight discomfort and soreness are usual after getting them. Apart from this, metal braces may feel to be a little tight after getting them readjusted on a follow-up visit to the orthodontist.
The total duration of wearing dental or tooth braces depends on multiple factors that include the condition of teeth and compliance with oral care practices. Usually, the duration may vary from 18-36 months.
While wearing dental braces for teeth, one must definitely avoid any carbonated drinks, sticky food, and crunchy food including ice and popcorn.



Clove Dental clinics are Available in 27 Indian Cities. Book an appointment at Clove Dental Clinics for the best dental treatments by expert dentists/orthodontists for Braces & Aligners at a reasonable cost. Select your city below to find the