
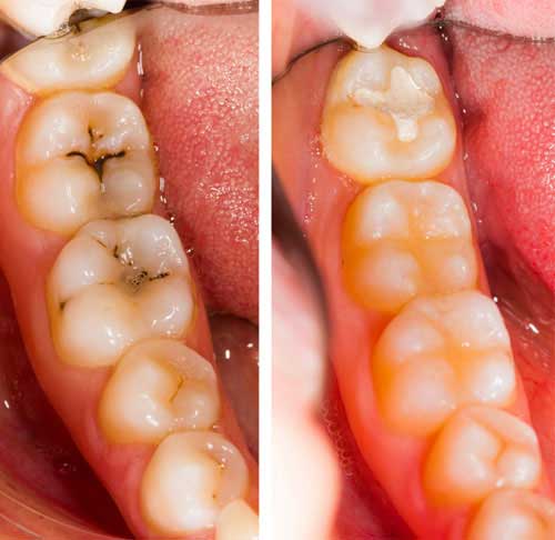
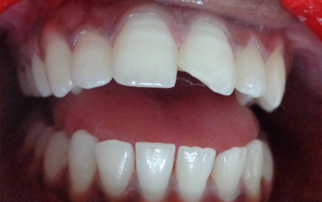
Dental Filling (Teeth Filling) is a treatment modality to restore missing tooth structure which could have been a result of decay or trauma. Decay makes tooth hollow. Dental Filling helps to fill this gap and protect it from further decay. A filling is also used to repair broken or cracked tooth and the teeth which wear off due to dental habits like teeth grinding, nail biting etc.








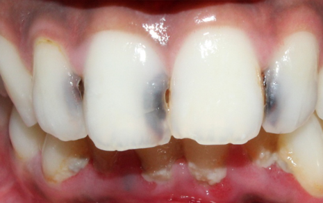
There are various signs and symptoms where teeth fillings can be required. The symptoms could be as below:
If you come across any of the symptoms as mentioned above, then there is a chance that you need a teeth or dental filling. The final decision will be of your Endodontist after a thorough oral examination.
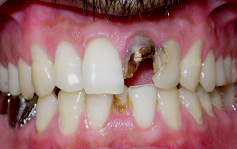
Dental Filling (Teeth Filling) is normally required if your tooth is decayed. It can prevent further damage and can protect your tooth.
If you have decay, then it is extremely important to get Fillings done because if the treatment is not done on time then slowly the enamel (outer part of teeth) start decaying exposing the dentin (the hard part below the enamel). The bacteria in your mouth will come in contact with dentin, causing infection. Once the infection starts, you will feel sensitivity and will then want to get Fillings done. But if you skip this part and do not get the treatment done on time, then the infection will reach to the nerve which will eventually damage the tooth and then one needs to undergo a Root Canal Treatment. You are also at risk of the infection traveling to the adjacent tooth making it prone to decay.
Fillings are a very affordable and efficient restoration method, but the cost varies greatly in different situations and for different patients. The cost of treatment is determined by the size of the filling, the number of fillings necessary, and the material you choose. Investing in a filling to restore your teeth today might reduce your chances of needing more expensive procedures later. For example, if a cavity is left untreated, it can lead to loss of tooth and replacing a missing tooth is significantly costlier than a dental filling.
Book an Appointment
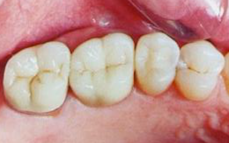
Dental Fillings are of various types. The type of filling to be used will depend upon the condition of decay and other factors such as a person being allergic to a material. The different types of fillings available are:
This old age filling is long-lasting. In this type, Silver Filling is comparatively inexpensive. But gold though expensive is a preferred choice. Because they can withstand chewing forces and last usually from 10-15 years.
These are the most researched and widely used by dental professionals since quite a long now. They are made of several metals combined and therefore, they have high strength.
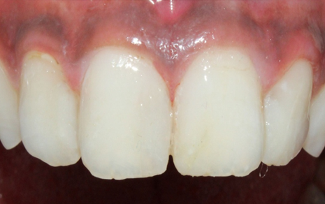
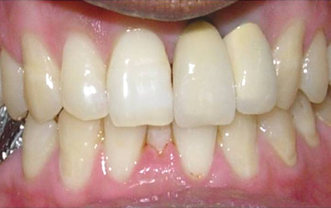
These are of the same color as your teeth. These are preferred if a person does not want their filing to be seen. It is recommended & suitable for front teeth. It bonds well with the tooth structure. It is also used for a chipped tooth, however, does not last long as compared to metal and amalgam filling and can also wear off with time.
The porcelain filling is best suited if you have serious aesthetic concerns. These cover most parts of the tooth, as a result, can be used if the decay is large enough. This long-lasting filling does not stain or wear off easily.
At Clove Dental Clinics near you, we have simplified the process of dental fillings by making tooth filling both painless and affordable. For those in need of cavity fillings using GIC or Composite, our services of dental filling cost start from Rs. 790 only. If you are required to get more advanced nanohybrid cavity filling, the teeth gap filling cost begins at Rs. 1,190. For individuals considering inlays or onlays, the tooth filling cost starts at Rs. 2,490.
* The final cost of the treatment may vary based on case to case.
The longevity of Dental Filling depends upon the material of the filling. It also depends on how well you take care of your filling. The life of Dental Filling varies from 10 years to 20 years.
Yes, but the chances are rare for any teeth filling to fall off.
Visit your dentist as soon as your Dental Filling comes out. There might be increased sensitivity for a while.
If you have sensitivity even after getting the filling done, then it is likely that your filling is about to come off. Or if you feel pressure while eating or have a constant toothache then the chances of it coming off is high.

Clove Dental clinics are Available in 27 Indian Cities. Book an appointment at Clove Dental Clinics for the best dental treatments by expert dentists/orthodontists for Dental Fillings / Teeth Fillings at a reasonable cost. Select your city below to find the