
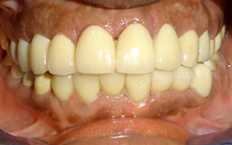
The smile is a reflection of one’s oral health! For a smile -makeover beautifully aligned teeth with healthy gum is an absolute necessity.
Smile makeover takes into consideration the tooth color, tooth size, tooth shape, tooth position, lip position, lip length, gum position, and gum color. The change of one’s smile involves re-alignment or veneering or change of shape or colour of teeth, so that the teeth fulfill the requirements of a beautiful smile.








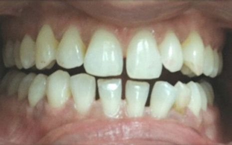
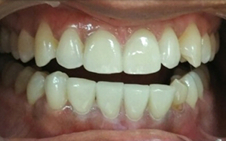
Bright and white teeth are a sign of youthful appearance. The dentist will match the color of the teeth with skin tone, skin color, and hair color. He can change the color of the teeth by Bleaching or Veneers.
The line from incisal edges of upper teeth from side to side should follow the contour of the lower lip for an aesthetic appearance.
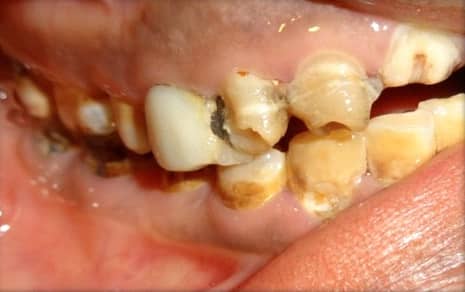
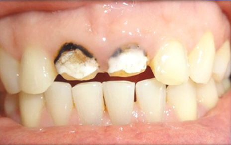
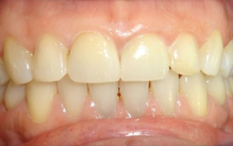
As the age increases the teeth become shorter due to attrition. Long teeth give a young look. Some teeth are slightly abnormal in shape as compared to adjacent teeth eg. Peg laterals which give an unaesthetic appearance. The size and shape of the teeth can be changed by veneers or crowns. The white show (tooth show) can also be increased by procedures like crown lengthening or changing the gum line (in cases of a gummy smile) by the help of laser dentistry. The width to length ratio of the upper central incisors should be 4-5 for a balanced smile line.
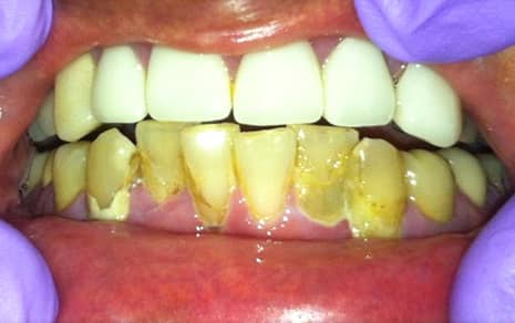
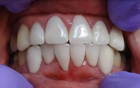
Crooked, crowded, or spacing between teeth can be corrected by using Braces, Aligners, or Veneers.
Missing teeth can be replaced by using Bridges, Implants, or other Removable Prosthesis.
The procedures involved in a smile makeover can be a mix of
Veneers are thin tooth-colored custom-made shells that are fixed on the labial surface of teeth to change their color, shape, and size. These improve the appearance of front teeth.
Crowns are also tooth-colored custom-made shells but they cover the full surface of the tooth. They also make the tooth stronger.
Teeth whitening is a process of removing stains from the tooth surface and restoring the natural color of the teeth. Whitening is a one-time procedure performed by a dentist. It is amongst the most common and widely adopted cosmetic procedures.
Permanently attaching a tooth-colored material (composite) onto the tooth is called composite bonding. This can be Direct or Indirect. Direct composite bonding can be used by dentists on the chair to do fillings, repair fractured edges, and close gaps. Indirect bonding is usually done in the lab.
Dental Implants are root-like titanium screws which are surgically placed in the jaw bone for replacement of missing teeth. It greatly increases the self-esteem of the patient as it closely simulates the natural tooth. It does not cause any speech difficulty and has high acceptability.
Orthodontic treatment is a way of straightening teeth to make them look more esthetic and improve function. The treatment can be done by Braces and Aligners (Invisible Braces). There are tooth-colored braces, metal braces, and lingual braces. The treatment usually takes 12-18 months to complete but is more stable and long-lasting as it preserves the natural integrity of teeth.
Smile Makeover is a boon in dentistry as it makes the patient look more esthetically acceptable in society. It remarkably increases the self-confidence and self-esteem in patients. It also contributes to better function helping patients to lead a more comfortable lifestyle.
Smile makeover requires regular maintenance of oral hygiene. The patient has to visit the dentist every 6 months for a checkup and any minor repairs.
Depending on your dental health, the length of treatment and cost of your smile makeover will differ. If your dentist detects any underlying oral health concerns before commencing treatment, your Delaying gum problems not only affect oral health as a whole, it directly impacts overall health for instance, it’s directly related to an increased risk of heart disease. However, if you are someone with immaculate oral health, then the charges become significantly reasonable.
Book an Appointment
Smile Makeover is not just one procedure but a culmination of several different treatments. While some require a majority of them, others can need fewer procedures. Thus, smile makeover cost can vary from person to person, as it is a reflection of what exactly is needed.
Getting perfect teeth is easy; you only need to take care of two things. First, follow all of the basic oral hygiene principles like brushing, flossing, and rinsing. Second, make sure that you visit a dental clinic at least twice every year for dental check-ups. For dental check-ups and consultation.
With technology covering larger leaps than before, getting straighter teeth has become easier. There are a number of clear aligners and invisible braces that are available in the market and can straighten your teeth without letting others know that you are wearing any.
In many situations, the tooth moves into place on its own. However, in some cases, experts at the dental clinic also have several ways to push the tooth back shall there be a need for it.

Clove Dental clinics are Available in 27 Indian Cities. Book an appointment at Clove Dental Clinics for the best dental treatments by expert dentists/orthodontists for Smile Makeover at a reasonable cost. Select your city below to find the