
Humans start teething when they are as young as 6 months old and develop their set of primary ‘milk’ teeth.
At the age of 6-7 years, humans start losing their milk teeth and a permanent set of teeth starts emerging. Because the milk teeth will eventually fall off, some parents tend to ignore taking their child to a dentist.
However, these milk teeth form the basis of developing permanent teeth. If proper care is not taken the problems can emerge which will last a lifetime. In recent years the cases of caries in children have grown manifold. Therefore, it is always advised to start taking care of your baby’s teeth in the very early stages of their life. This includes setting an Oral Hygiene routine and regular visits to a pediatric dentist.




Kids Dentist or Pediatric Dentist are trained to take care of dental complexities of kids and teens. Pediatric dentistry is a separate field dedicated to kids, their Oral Health prevention and preparation for the future.
Pediatric Dentist work towards maintaining good oral health in kids. The treatment provided by them includes:
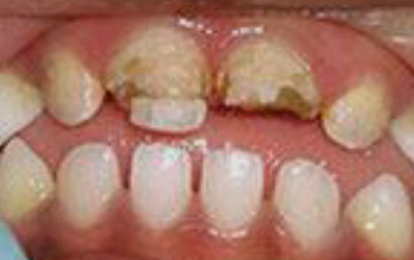
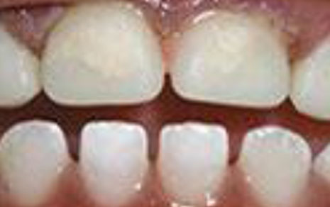
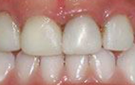
If you think your child is too young to need root canal treatment, think again — there is no age limit for this treatment. If his/her primary (baby) teeth have been injured, or if decay has advanced deep into the roots of your child’s teeth, a root canal treatment to stabilize teeth may be needed.
Root canal treatment removes the infection from the pulp, the living tissue that is found inside the tooth’s roots. The pulp contains the tooth’s nerves, so tooth pain is often an indication that decay has moved into the pulp.
Root canal treatment is a simple procedure wherein instruments are used to clean the root canals of teeth followed by inserting a medication so as to maintain the teeth properly in the oral cavity.
Frequently children acquire certain habits that may either temporarily or permanently be harmful to teeth and tooth supporting structures. These habits are acquired as a result of repetition. In the initial stages, there is a conscious effort to perform the act. Later the act becomes less conscious and if repeated often enough may enter the realms of unconsciousness. Some common oral habits seen in children include thumb sucking, mouth breathing, tongue thrusting, lip biting, grinding of teeth and nail-biting.
Certain reminding appliances called habit breaking appliances assist the child who is willing to quit the habit but is not able to do so as the habit has entered the subconscious level. They may be removable or fixed appliances.
Common Appliances in Pediatric Dentistry:
A common problem for which parents usually take their children to the dentist is decay. This is because there is a lack of proper dexterity of brushing in children. To avoid the problem of decay, parents should get the Fluoride application treatment in children at regular intervals. Fluoride helps to fight plaque and bacteria which can cause enamel loss which further causes cavities. Fluoride also strengthens the tooth structure & helps in bone growth. Under this treatment, the dentist incorporates fluoride ions into the tooth structure making them more prone to acid dissolution. This treatment is equally useful for both milk & permanent teeth.
The main reason for decay is the food and bacteria that is trapped in the pits & fissures of teeth. We chew food from the back teeth like molars and premolars which are never flat. The pits & fissures as discussed above are the depressions on these back teeth. They function as potential traps for bacteria & food and make it susceptible to decay. Therefore, as a preventive measure, certain pits and fissure sealants are placed.
Dental sealants then come to the rescue. Sealants are plastic coatings placed on the chewing surface of the permanent tooth. They protect the tooth from decay. Because of fissures the permanent back teeth, molars, and premolars are vulnerable to decay.
As we talked about the habits, it is important to inculcate the habit of maintaining good oral health at a very initial stage. This is an investment which will pay lifelong dividends in the form of healthy teeth and a healthy lifestyle. Parents should take initiatives to teach their children the correct technique of brushing and for that, it is highly important that they themselves should know the correct way of brushing. Make brushing a fun-filled activity for your child, brush along with them and encourage them to take preventive actions.
Apart from the aforementioned treatment options, make sure that your kids brush twice daily. Brushing before sleeping is extremely important because the food you eat during the day get stuck between your teeth and bacteria in your mouth will feed on that food overnight causing decay. If possible teach your child how to floss as it is the added protection for your teeth
Pediatric dental visits cost a little less than adult visits generally. For most of the services like cleaning and common checkup, the prices are affordable. However, some dental treatments can be marginally higher in cost if your child’s dental health is not immaculate. You can learn more about them in detail by visiting any of our dental clinics in India. Clove has experienced specialists for kids dental care right in your neighborhood. Ideally, it is advised that a child’s first dental visit should be planned when the first tooth erupts
Book an Appointment

You should take your child to the pediatric dentist as soon as the first tooth erupts in their mouth, or right around the time your child turns one. Book an appointment with an expert at your nearest Clove Dental Clinic for pediatric consultation.
It is mandatory for a child to see a pediatric dentist till the age of 14, because by this time, all of their permanent teeth have grown out. Beyond this, it is the choice of the child and his/her parents. However, it is recommended that a child should visit a pediatric dentist till the age of 16.
For children, brushing should start with the eruption of the first tooth. However, expert kids dentist advice to make sure that the amount of toothpaste should be very small, almost equivalent to a grain of rice.
It is extremely important to maintain oral hygiene and keep the mouth clean & clear of germs, irrespective of the age. Mothers can clean the mouth, both upper and lower jaw, of their children with the help of a soft cloth
Most babies have a white coating on their tongue in the initial few weeks, which is completely normal. There is nothing wrong with their oral hygiene.
As milk teeth erupt and fall, people often think that they do not matter in the overall part of oral hygiene. However, milk teeth play some really important roles, like:
Clove Dental clinics are Available in 27 Indian Cities. Book an appointment at Clove Dental Clinics for the best dental treatments by expert dentists/orthodontists for Kids Dentistry at a reasonable cost. Select your city below to find the